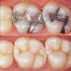
Composite Fillings
Tooth-colored fillings that are designed to match the color of your teeth are called composites. Composites are a mixture of glass or quartz filler that provide good durability and resistance to fracture in small- to mid-size restorations that need to withstand moderate pressure from chewing. They are generally used on either front or back teeth.
Composites are "bonded" or adhered in a cavity. This can allow your dentist to make a more conservative repair to your tooth, meaning less tooth structure is removed when the dentist prepares the tooth. This may result in a smaller filling than that of a metal (amalgam) filling.
It generally takes longer to place a composite filling than it does for a metal filling. That’s because composite fillings require the tooth be kept clean and dry while the cavity is being filled.
Dental Fillings

A dental filling is a type of restorative dentistry treatment used to repair minimal tooth fractures, tooth decay or otherwise damaged surfaces of the teeth. Dental filling materials, which include composite, porcelain and silver amalgam, may be used to even out tooth surfaces for better biting or chewing.