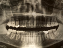
Dental X-Rays

When X-rays pass through your mouth during a dental exam, more X-rays are absorbed by the denser parts (such as teeth and bone) than by soft tissues (such as cheeks and gums) before striking the film or x-ray sensor (in the case of digital x-rays). This creates an image on the radiograph. Teeth appear lighter because fewer X-rays penetrate to reach the film. Cavities and the resultant bone loss from gum disease appear as darker areas because of more X-ray penetration. The interpretation of these X-rays allows the dentist to safely and accurately detect hidden abnormalities.
How often dental X-rays (radiographs) should be taken depends on the patient`s individual health needs. It is important to recognize that just as each patient is different from the next, so should the scheduling of Xray exams be individualized for each patient. Your medical and dental history will be reviewed and your mouth examined before a decision is made to take X-rays of your teeth.
The schedule for needing radiographs at recall visits varies according to your age, risk for disease and signs and symptoms. Recent films may be needed to detect new cavities, or to determine the status of gum disease or for evaluation of growth and development. Children may need X-rays more often than adults. This is because their teeth and jaws are still developing and because their teeth are more likely to be affected by tooth decay than those of adults.
